הממצאים המפתיעים אצל אנשים שיש להם רק חצי מוח
ככל שזה נראה מפתיע, מחקר הוכיח שיש אנשים שיש להם רק חצי מוח ומצליחים לנהל חיים נורמליים. זה מראה, באופן עקרוני, שאנחנו רחוקים מלהבין לגמרי את האיבר המורכב של המוח, וזה ממשיך להפתיע אותנו. המחקר המדובר נערך על ידי צוות מהמכון הטכנולוגי של קליפורניה (Caltech), באירופה.
ישנן סיבות שונות מדוע לאנשים יש חצי מוח. לפעמים זה נובע מתאונות או מומים מולדים. באחרים, ייתכן שזה נובע מהתערבויות כירורגיות. אכן, ישנן מחלות מסוימות, כמו אפילפסיה, המצריכות מדי פעם הסרה של חלק מהמוח.
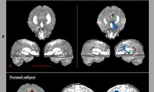
צוות מחקר מהמכון הטכנולוגי של קליפורניה (Caltech) לקח על עצמו את המשימה לחקור שישה אנשים עם חצי מוח בלבד.
מטרת החוקרים הייתה לוודא באיזו מידה מצב זה הגביל את יכולותיהם ויכולותיהם. כדי לאמת זאת, הם השוו אותם עם שישה אחרים שכל המוח שלהם שלם. התוצאות פורסמו בכתב העת, Cell Reports.
" לחשוב שהתודעה האנושית תובן על ידי ראייה אילו אזורים במוח מופעלים, זה כמו לחשוב שעבודתו של משרד תובן על ידי ראייה באילו חלונות מופעל האור."
ז'וזה רמון איילון-
אנשים עם רק חצי מוח
יש יותר אנשים שיש להם רק חצי מוח ממה שאתה בטח מבין. במחקר שהזכרנו קודם לכן, המשתתפים היו אנשים שאיבדו את אחת ההמיספרות המוחיות שלהם במהלך הילדות.
כולם היו אנשים שבמהלך ילדותם סבלו מהתקפים אלימות מדי יום של אפילפסיה קשה.
במקרים מסוג זה, מקובל לבחור בניתוח, מכיוון שהבעיה נובעת מנזק מקומי למוח. בדרך כלל, על ידי הסרת ההמיספרה המוחית המקבילה, ההתקפים נעצרים.
כמובן, ניתוח מסוג זה גורם גם לתופעות לא רצויות. ברגע שזה מתבצע, האדם מאבד את תנועתיות ידו מול ההמיספרה שהוסרה. במילים אחרות, אם מסירים את ההמיספרה הימנית, אובדת הניידות ביד שמאל. גם הראייה בעין זו אובדת, ולעיתים מתרחשות מגבלות דיבור.
תוצאות מחקר קליפורניה
החוקרים גייסו שישה אנשים עם חצי מוח בלבד כדי להעריך את ביצועיהם המלאים, שנים רבות לאחר הניתוח. מיד, הם הצליחו לוודא שלכולם יש את היכולות הלשוניות שלהם שלמות.
הם גם אישרו שהשליטה על הראייה, התנועה, ההיגיון והרגשות שלהם עבדו בצורה מושלמת. התוצאות לא היו כצפוי, שכן החוקרים הניחו מראש שהיעדר אחת מההמיספרות המוחיות יתבטא באמצעות סוג כלשהו של מגבלה או חוסר.
למרות זאת, להפתעתם, זה לא קרה. למעשה, אחד ההיבטים הבולטים ביותר היה שאזורי המוח של אותה המיספרה היו יותר ויותר מחוברים זה לזה בששת האנשים האלה עם חצי מוח בלבד מאשר אצל האנשים עם המוח שלהם שלם.
זה הצביע על כך שיש להם גם יכולת קוגניטיבית גדולה יותר, יותר כישורים חברתיים, והפגינו ביצועים טובים יותר באופן כללי. עם זאת, מכיוון שרק שישה אנשים נחקרו, לא ניתן להכליל את התוצאות.
התקדמות בידע על המוח
מה שהמחקר הזה מראה הוא שהמוח הוא הרבה יותר מסכום חלקיו או איבר שפשוט פועל כמו מכונה.
למעשה, מחקר זה הורס את הרעיון הרווח לפיו ישנם אזורי מוח שונים שכל אחד מהם עוסק, באופן בלעדי, בפונקציות ספציפיות. להיפך, הוא מדגים שהמוח פועל בצורה גמישה ומקיפה.
המשמעות היא שלאזורים שונים במוח יש את היכולת לבצע מספר פונקציות. יתר על כן, כאשר אחד החלקים נכשל, או אינו קיים יותר, כמו במקרה זה, שאר האזורים משתנים ומוצאים דרך לפצות על החוסר הזה.
יש לזכור שהאנשים שנחקרו סבלו מחסר זה מאז היו ילדים והם הוערכו כמבוגרים. לכן, במהלך אותה תקופה, הייתה למוחם הזדמנות להסתגל בצורה מושלמת לחוסר בהמיספרה אחת.
למרות שזהו אחד המחקרים הראשונים בהקשר זה, דווחו מקרים דומים רבים. ואכן, לאחרונה היה מקרה של אישה בת 24 ללא מוח קטן שניהלה חיים נורמליים לחלוטין. זה מזכיר לנו שהמוח הוא איבר יוצא דופן, שאנחנו רק מתחילים להבין.

