למוח שלך יש מצב טייס אוטומטי: רשת מצב ברירת המחדל
למרות שזה עשוי להפתיע אותך, למוח שלך יש חיים פרטיים ללא תלות בתודעתך. רשת מצב ברירת המחדל היא אזור במוח שפועל כטייס אוטומטי בכל פעם שהמוח שלך נודד או שאתה מתנתק מהסביבה שלך במצב של קליטה עצמית מרגיעה.
במשך שנים רבות, חוקרים האמינו שהמוח שלך הראה את הפוטנציאל שלו בכל פעם שאתה עושה משימה מסוימת. בפרט, שזה הראה סימנים של נימוקים, שינון והסקה. עם זאת, מומחים גילו משהו מרתק כמו שהוא תמוה: המוח אף פעם לא נח. גם כשאתה ישן, המוח שלך עובד קשה.
כשאתה לא עושה או חושב כלום, המוח שלך עדיין שקוע בפעילות המורכבת שלו. באותם רגעים של חוסר פעילות קוגניטיבית לכאורה, רשת מצב ברירת המחדל (DMN) מופעלת. מדענים כינו את הפעילות הזו, כמו גם את כל התהליכים המתרחשים כדי לשמור על ערנות ותפקוד המוח, "אנרגיה אפלה".
מדען המוח מרקוס רייכל גילה את האנרגיה הייחודית הזו ב-1990 בזמן שהוא ערך ניסויים בהדמיית תהודה מגנטית פונקציונלית. הוא גילה שזה לא משנה אם אדם נח, לא עושה כלום, נותן לנפשו לשוטט או חולם בהקיץ. לפיכך, למוח יש "חיים משלו", כביכול.
"אני מוח, ווטסון. כל השאר הוא רק תוספתן."
-שרלוק הולמס-
מהי רשת מצב ברירת המחדל?
אתה יכול להשוות את רשת מצב ברירת המחדל לטייס אוטומטי. זו בעצם המערכת שלוקחת שליטה כשאתה "מתנתק" נפשית. עם זאת, אנלוגיה זו אינה מושלמת, מכיוון שרשת מצב ברירת המחדל פועלת תמיד. לכן, זה תמיד מוכן להשתלט כשאתה צ'ק-אאוט.
הנה דוגמה. נניח שאתה בספרייה, קורא כמה הערות שאתה רוצה לשנן למבחן. בשלב מסוים, אתה מתחיל לחלום בהקיץ. לפיכך, כעת רשת מצב ברירת המחדל שלך שולטת במוח שלך.
לאחר כמה רגעים, כיסא חורק מחזיר אותך להערות שלך. ברגע שאתה מפסיק לחלום בהקיץ ומתחיל להתמקד בשיעורי הבית שלך ובעולם שסביבך, הרשת החיובית למשימות (TPN) מתחילה לפעול. אזור זה במוח עוזר לך למקד את תשומת הלב שלך בסביבה שלך. האנרגיה והפעילות החשמלית המתרחשות במוח שלך עוברות ממערך אחד של מבנים לאחר, בהתאם לדרישות ולצרכים החיצוניים של המוח שלך.
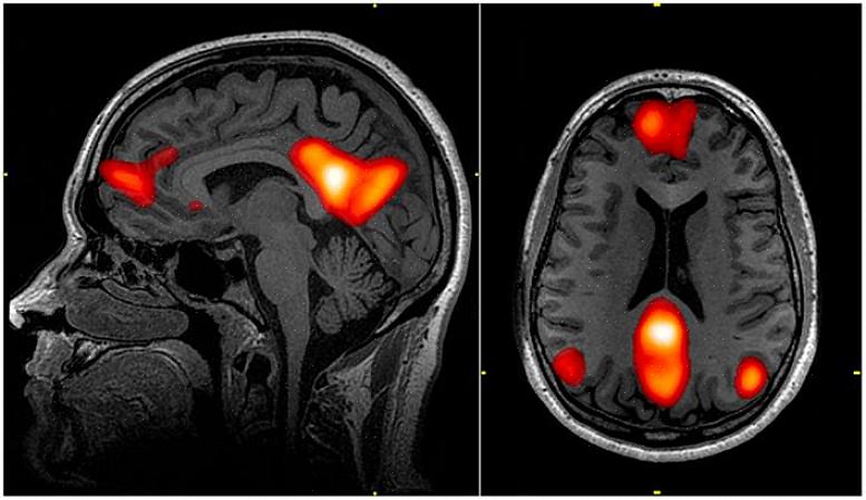
איפה רשת מצב ברירת המחדל ומה מפעיל אותה?
רשת מצב ברירת המחדל מורכבת משלושה אזורי מוח קונקרטיים: קליפת המוח הקדם-מצחית המדיאלית, האונה הפריאטלית התחתונה האחורית והאונות הטמפורליות המדיאליות. ד"ר מרקוס רייכל קרא למעגל שמפעיל במבנים אלה רשת מצב ברירת המחדל. עם זאת, ב-1997, כשפרסם את הנתונים שלו, החליטו בתקשורת לתת לו שמות מעניינים יותר. מכאן הגיעו מונחים כמו "רשת החלומות בהקיץ" או "האנרגיה האפלה של המוח".
כעת אנו מכירים את חלקי המוח המעורבים במצב ברירת מחדל זה. אבל מה מפעיל אותו? מדוע למוח יש מערכת שמתפקדת בזמן שאנו חולמים בהקיץ? הנה אחת ההשערות:
- לתת למוח שלך לשוטט הוא שימושי בדרכו שלו. המוח האנושי רואה בחלום בהקיץ דרך לחזק את תחושת העצמי שלך. זה שימושי מכיוון שהוא מפחית מתח, מגביר את היצירתיות ומציע תחושות חיוביות. בנוסף, זה גם מאוד מרגיע.
באופן מוזר, המוח משתמש כמעט באותה כמות אנרגיה כשאתה נח כמו כשאתה מודע לחלוטין לסביבתך. שתי המדינות חשובות באותה מידה.
הקשר להפרעות פסיכולוגיות
מידע זה חשוב ביותר בנוגע לבעיות נפשיות. מדענים גילו שרשת מצב ברירת המחדל אינה פועלת ביעילות אם אתה מדוכא או שיש לך הפרעת חרדה.
במחקר שנערך באוניברסיטת וושינגטון, הרופאים איווט I Sheline, Deanna M. Barch ו-Joseph L. Price גילו שחולים עם דיכאון מציגים שינויים משמעותיים בפעילות הרשת במצב ברירת המחדל.
כפי שהזכרנו לעיל, מצבי חלומות בהקיץ, ספיגה עצמית והרחקת אזורים הם למעשה חשובים למוח האנושי. לתת למוח שלך לשוטט (מדי פעם) מספק קצת הקלה במתח. זה מאפשר לך לברוח מהמציאות ולמצוא מחסה במרחב בטוח.
מחקרים מראים שלמרות שאנשים עם דיכאון מסוגלים להתרחק או לחלום בהקיץ, זה לא מייצר אצלם רגשות חיוביים. זו לא חוויה טובה. להיפך, זה נוטה להגביר את רגשות השליליות והייאוש שלהם. לפיכך, רשת מצב ברירת המחדל אינה פועלת באותו אופן אצל אנשים עם דיכאון.
בהקשר זה, עלינו להזכיר גם שמדענים גילו שלחולי אלצהיימר ולאנשים עם הפרעת הספקטרום האוטיסטי יש את אותה בעיה. בנוסף, הם מתקשים מאוד להיכנס או לצאת ממצב של רגיעה נפשית. זה אומר שיש להם פחות הזדמנות לחזק את תחושת העצמי שלהם.
אנחנו רק מתחילים לגרד את פני השטח של הבנת רשת מצב ברירת המחדל. לפיכך, זו עדיין תעלומה נוספת של המוח. עם זאת, ההתקדמות במדעי המוח מאפשרת לנו להבין זאת טוב יותר.
