עיבוד גועל - איך המוח עושה את זה?
עיבוד גועל הוא אחד התפקידים הבסיסיים ביותר של האדם ושמר את המין בחיים במשך כמה מאות שנים. ולמרות שזה קצת נשכח על ידי הפסיכולוגיה, יש כבר מספיק מידע זמין על איך המוח עושה את זה. אפשר להגדיר גועל כתחושה של סלידה חזקה מחפצים או חומרים מסוימים. זה גורם לך לרצות לגרש, להתרחק ממנו או פשוט לדחות את זה.
רגש זה הוא אוניברסלי ומוכר כאחד מששת הבסיסיים הנפוצים בכל התרבויות ואפילו באלה עם מגבלות חושיות. זה מגיע עם הבעת פנים אופיינית. לדוגמה, יש הרמה של השפה העליונה, הזעף והורדה של פינות השפתיים.
בנוסף, זה בדרך כלל מגיע יחד עם ירידה במתח, ירידה בתגובת העור הגלווני, בחילות, ירידה בקצב הלב, תחושת סלידה, התרחקות מהאובייקט, שינויים בדרכי הנשימה וקוליות אופייניות כמו "אוי! "
טבעו של הגועל
עליך לזכור שהניסיון הכתיב את המודל עבור המוח האנושי, כמין ובפרט. למרות שאתה אולי לא יודע את זה, לבני אדם הייתה מעין מערכת חיסון התנהגותית לפני שהם פיתחו את המערכת המתוחכמת שיש לנו כרגע.
המערכת הבסיסית הנזכרת פעלה בעבר כמחסום שהגן על בני אדם ממגע עם טפילים וסכנות אפשריות אחרות.
היתרון הנגזר מעיבוד הגועל הוא בעיקר בהימנעות ממחלות. לפיכך, למרות שיש הבדלים תרבותיים לגבי מה שמגעיל אנשים, הדברים העיקריים שמעוררים את הרגש הזה הם:
- הפרשות ואיברי גוף מסוימים: צואה, רוק, דם, פצעים, הקאות, רגליים מלוכלכות וכו'.
- אוכל רקוב.
- יצורים כמו חרקים, תולעים ועכבישים, בין היתר.
- מאפיינים מסוימים של אנשים לא ידועים או כאלה שהם שונים.
- הפרות של כמה נורמות חברתיות ומוסריות.
עד כמה שהרגש הזה מולד, עליך לזכור שאנשים רוכשים היבטים מסוימים של מה שמגעיל אותם. זה המקום שבו ההבדלים התרבותיים וההתפתחותיים ניכרים יותר. למשל, נראה שילדים עד גיל שנתיים לא יודעים מה זה גועל.
עם זאת, אפשר להסביר זאת בכך שהם עדיין תחת השגחת הוריהם. בעיקר בגלל שהמין האנושי די לא בוגר ופגיע לאורך שנות החיים הראשונות. לפיכך, בסופו של דבר פעוטות מפתחים רגש זה על ידי התבוננות בהתנהגות הוריהם.
המוח ואיך הוא מעבד את הגועל
כדי לדעת איך המוח שלך מעבד גועל, אתה חייב בעצם לקחת בחשבון שני אזורים: האינסולה והמערכת הלימבית (השקדים וההיפוקמפוס).
האינסולה קולטת מידע מהמסלולים התחושתיים ושולחת מידע או גירויים למבנים אחרים, כמו המערכת הלימבית, הסטריאטום הגחון וקורטקס האורביטו-פרונטלי. נראה שהאזור הזה אחראי לחווית גועל, כמו גם לזיהוי ביטויי גועל אצל אנשים אחרים.
לדוגמה, האינסולה של אנשים עם מחלת הנטינגטון לא פועלת כראוי, ולכן הם מתקשים לחוות את הרגש הזה. בנוסף, הגירוי של האינסולה מוביל לבחילות.
המערכת הלימבית, ובמיוחד האמיגדלה, קשורה לעיבוד רגשי שלילי, כגון פחד, גועל ולמידה. למעשה, לאחרונה, קבוצה שהוקמה על ידי חברי אוניברסיטת גרנדה והאוניברסיטה האוטונומית של באחה קליפורניה זיהתה את האזור הספציפי של השקד שגורם לדחיית טעמים לא נעימים.
מעבד גועל
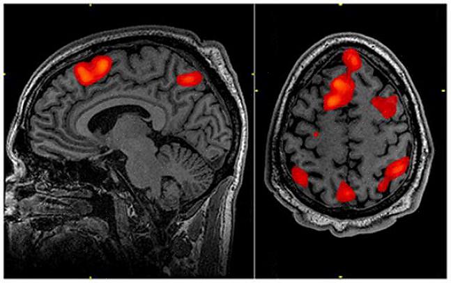
עד כה, מחקרים מדעיים טענו שגועל הוא חלק מאזורי מוח מסוימים, ותפסו תמונות של אותם אזורים שהם חשבו שהם מעורבים בהם. כעת, הודות לטכנולוגיות חדשות, כגון הדמיית תהודה מגנטית פונקציונלית, ניתן לראות בבירור כיצד המוח מעבד באופן דינמי גועל.
לפני כשנה הכפפה קבוצת חוקרים מקטלוניה 30 אנשים למחקר. בו, הם הציגו לאנשים לאמור סרטון של שש דקות ובו צילומים של מנות מעוררות תיאבון רבות. והם גם הראו להם עוד אחד שיש בו זריקות אוכל לצד דברים לא נעימים אחרים כמו ג'וקים, אנשים שאוכלים תולעים וכו'.
התוצאות גילו שהמוח עדיין מעבד את הרגש הזה 40 שניות לאחר שהסתכל על התמונות הלא נעימות. בנוסף, תמונות המוח הראו שלא רק חלק מהמוח פועל מול סצנה או חפץ מגעילים, אלא כמעט חצי ממנו.
באשר לעיבוד, מדענים אומרים שיש שלושה שלבים:
- מופיע גירוי והמוח מתחיל להפעיל את מנגנוני ההגנה וההגנה של הגוף, גם מבלי להיות מודע לכך.
- השלב השני הוא של עירנות מודעת לאחר שהמוח מעריך גירוי כשלי במודע.
- לבסוף, ישנו השלב השלישי של ההטמעה שבו אדם חווה גועל ומאחסן אותו בזיכרון שלו לעיון עתידי. שלב זה יכול להימשך כ-26 שניות.
הפרעות גועל
יכול להיות שאתה נגעל מאוד מכמה גירויים שלא הפריעו לך בהתחלה. לפיכך, ישנן מספר הפרעות פסיכופתולוגיות הקשורות או לפחות יש להן מרכיב גועל.
ישנן כמה דוגמאות להפרעות חרדה כגון הפרעה דו-קוטבית או אובססיביות-קומפולסיבית שבהן יש חשש מופרז מהתפשטות חיידקים ולכלוך.
מרכיב הגועל הוא מכריע בפוביות מסוימות כמו המופוביה או פוביה חברתית. לגבי האחרון, נראה שחלק מהאנשים מרגישים רתיעה מסוימת או סלידה מאינטראקציה עם אנשים. לבסוף, תפקיד הגועל בהפרעות אכילה עדיין בבדיקה.

